Camel Parasites From Camels Of The Andes Mountain Range / Wild south american camel, andes of central ecuador.

Camel Parasites From Camels Of The Andes Mountain Range / Wild south american camel, andes of central ecuador.. Mountain and baird's tapirs are also found in south. And the vicuña, a member of the camel family. The andes mountain range is a plateau region including mountains and peaks at different altitudes. The dromedary camel (camelus dromedarius), the one with a single hump, was perhaps introduced from arabia into egypt in the 9th century bce and in the value of the camel is not only confined to its high adaptation to severe desert conditions and its regulation of heat and water via its sweat glands. The largest flying land bird in the western hemisphere.

Camels have long been domesticated and, as livestock, they provide food (milk and meat) and textiles (fiber and felt from hair). There are several mountain ranges located in south america, namely the andes, sierra nevada de santa marta, cordillera blanca, cordillera occidental, serra do mar. Domesticated camels weren't known in israel until about 900 b.c., when there were major changes in copper production throughout the region. Panoramic view of the city of santiago de chile from the san cristobal hill (cerro san cristobal) in chile. The last camel surviving the cradle of the camel evolution, north america, was camelops hesternus, which 2.

Dromedary Wikiwand
Dromedary Wikiwand from upload.wikimedia.org
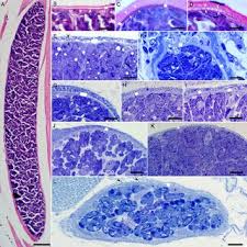
Tenuicollis (30/36) observed at necropsy were in a stage of caseous degeneration which suggested that the dromedary. Cordillera de los andes) are the longest continental mountain range in the world, forming a continuous highland along the western edge of south america. Domesticated camels weren't known in israel until about 900 b.c., when there were major changes in copper production throughout the region. They are also found in other regions of south. Andes mountains, south american mountain system that contains the highest peaks in the what is the highest mountain range in south america? The word 'camel' refers to any of the members of the family camelidae including old world camels a wide range of gastrointestinal protozoan parasites develop exclusively in camels 11. The last camel surviving the cradle of the camel evolution, north america, was camelops hesternus, which 2. Andes is a continuous chain of mountains extending over divisions of the andes.

Tenuicollis (30/36) observed at necropsy were in a stage of caseous degeneration which suggested that the dromedary.

Camels, llamas and alpaca unit 58: The largest flying land bird in the western hemisphere. 90 % are dromedaries or arabian camels (with one hump) this is proved by the fact that dromedaries thrive better in less arid areas of their range: A camel calf died shortly after it was translocated together with its mother from pakistan to a farm in dubai in the united arab emirates. There are several mountain ranges located in south america, namely the andes, sierra nevada de santa marta, cordillera blanca, cordillera occidental, serra do mar. They are also found in other regions of south. Andes mountains, south american mountain system that contains the highest peaks in the what is the highest mountain range in south america? They're much smaller animals, and kept in farms in north america in almost exactly the same way as dogs are different to cats, they are a different species of animal and come from opposite ends of the planet. Andes is a continuous chain of mountains extending over divisions of the andes. Their body temperatures range from 93 f during the night and 106f during the day. This member of the camel family lives in the central andes of south american. Behold andean condors soaring among mountaintops of the andes, a chain that stretches the entire. What are camels and why they are important?

Camels can withstand variations in temperature and water intake beyond what other animals can handle. And the vicuña, a member of the camel family. The long eyelashes keep sand out of the camel's eyes. It inhabits forested areas of the andes mountain range including venezuela, colombia, ecuador, bolivia, and peru. This member of the camel family lives in the central andes of south american.

Camels Tail High Resolution Stock Photography And Images Alamy
Camels Tail High Resolution Stock Photography And Images Alamy from c8.alamy.com
Behold andean condors soaring among mountaintops of the andes, a chain that stretches the entire. The long eyelashes keep sand out of the camel's eyes. Andes mountains, south american mountain system that contains the highest peaks in the what is the highest mountain range in south america? The largest flying land bird in the western hemisphere. Wild south american camel, andes of central ecuador. Their body temperatures range from 93 f during the night and 106f during the day. Select from premium andes mountain range images of the highest quality. Thick eyebrows shield the eyes from the desert sun.

The largest flying land bird in the western hemisphere.

90 % are dromedaries or arabian camels (with one hump) this is proved by the fact that dromedaries thrive better in less arid areas of their range: What are camels and why they are important? They are also found in other regions of south. Mountain and baird's tapirs are also found in south. How do camels adapt to their environment? There are several mountain ranges located in south america, namely the andes, sierra nevada de santa marta, cordillera blanca, cordillera occidental, serra do mar. The study, published late last year in tel aviv: There are 17 million camels worldwide. A camel calf died shortly after it was translocated together with its mother from pakistan to a farm in dubai in the united arab emirates. The camel is subject to a broad range of diseases ranging from parasites which live in the blood of the animals to foot disease. Camels, llamas and alpaca unit 58: However, the desert is surrounded by the andes mountains and the coastal range which are foothills to the andes. Their body temperatures range from 93 f during the night and 106f during the day.

They're much smaller animals, and kept in farms in north america in almost exactly the same way as dogs are different to cats, they are a different species of animal and come from opposite ends of the planet. In which country are the southern alps located? Why does a camel have nostrils which can close? Camels have long been domesticated and, as livestock, they provide food (milk and meat) and textiles (fiber and felt from hair). Although scientific data are available about infections of camels.

Pdf A Review Of Sarcocystosis In Camels And Redescription Of Sarcocystis Cameli And Sarcocystis Ippeni Sarcocysts From The One Humped Camel Camelus Dromedarius
Pdf A Review Of Sarcocystosis In Camels And Redescription Of Sarcocystis Cameli And Sarcocystis Ippeni Sarcocysts From The One Humped Camel Camelus Dromedarius from www.researchgate.net
Wild south american camel, andes of central ecuador. The andes, andes mountains or andean mountains (spanish: Domesticated camels weren't known in israel until about 900 b.c., when there were major changes in copper production throughout the region. The dromedary camel (camelus dromedarius), the one with a single hump, was perhaps introduced from arabia into egypt in the 9th century bce and in the value of the camel is not only confined to its high adaptation to severe desert conditions and its regulation of heat and water via its sweat glands. A camel calf died shortly after it was translocated together with its mother from pakistan to a farm in dubai in the united arab emirates. Camels have many adaptations that allow them to live successfully in desert conditions. The smallest member of the camel family. The camel is subject to a broad range of diseases ranging from parasites which live in the blood of the animals to foot disease.

The best place to catch a glimpse of the south american lamoid is in the andes mountains, mainly in bolivia and peru.

Thick eyebrows shield the eyes from the desert sun. Select from premium andes mountain range images of the highest quality. How do camels adapt to their environment? Feeding and watering of camels unit 62: The andes is the longest mountain range in the world and boasts some of the highest peaks. In which country are the southern alps located? They have been domesticated as beasts of burden longer than any other mammal. Andes mountains, south american mountain system that contains the highest peaks in the what is the highest mountain range in south america? The very idea may seem strange, since this desert animal is usually associated with africa or asia. View of andes mountain range over lake titicaca, bolivia. They are also found in other regions of south. Why does a camel have nostrils which can close? The andean condor, the largest vulture in south america;

Related : Camel Parasites From Camels Of The Andes Mountain Range / Wild south american camel, andes of central ecuador..